Recovering from a Tibial Plateau Fracture: A Physiotherapy Perspective

A Tibial Plateau Fracture is a significant injury that can impact your mobility and quality of life. It occurs when the upper part of the shinbone (tibia) sustains a break near the knee joint. Recovery from a Tibial Plateau Fracture can be a lengthy process, but with the guidance and support of physiotherapy, you can optimize your rehabilitation and regain strength, mobility, and functionality. In this article, we'll explore the recovery timeline for a Tibial Plateau Fracture from the perspective of physiotherapy.

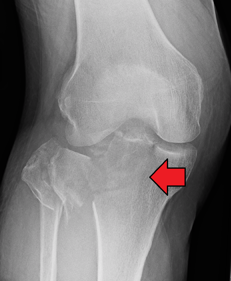
Image: Tibial Plateau Fracture region from Wikipedia

Understanding Tibial Plateau Fracture:

A Tibial Plateau Fracture is typically caused by high-energy forces such as falls, sports injuries, or motor vehicle accidents. The fracture occurs in the bony platform of the tibia that supports the weight-bearing portion of the knee joint. Treatment for Tibial Plateau Fractures often involves surgery, such as open reduction and internal fixation (ORIF), to realign and stabilize the fractured bone fragments.

A Chipperfield Therapist working with a client in their home for tibial plateau fracture therapy.

The Role of Physiotherapy in Recovery:

Physiotherapy plays a vital role in the recovery process after a Tibial Plateau Fracture. Working closely with a physiotherapist can help you achieve the following milestones during your rehabilitation journey:

  1. Immediate Post-Surgery Phase (0-6 weeks): In the initial phase, the focus is on pain management, wound healing, and early mobilization. Physiotherapy interventions may include gentle range of motion exercises, swelling management techniques, and assistance with walking using assistive devices like crutches or walkers. The goal is to prevent complications, maintain joint mobility, and gradually progress weight-bearing as directed by the surgeon.

  2. Intermediate Phase (6-12 weeks): As healing progresses, physiotherapy aims to restore strength, flexibility, and joint stability. Physiotherapists design customized exercise programs to target specific muscles around the knee and leg. These may include strength training exercises, balance and proprioception training, and functional movements. The physiotherapist will gradually progress the intensity of the exercises to promote healing and regain functional mobility.

  3. Advanced Rehabilitation Phase (3-6 months): In this phase, the focus shifts towards improving overall function and returning to pre-injury activities. Physiotherapy may involve more advanced strength training exercises, cardiovascular conditioning, agility drills, and sport-specific training if applicable. The physiotherapist will monitor your progress, make necessary adjustments to the exercise program, and provide guidance to prevent reinjury and promote a safe return to activities.

  4. Maintenance and Long-Term Management: After the initial recovery period, maintenance exercises are crucial to ensure ongoing strength, stability, and joint health. Your physiotherapist may recommend a home exercise program and periodic follow-up sessions to monitor your progress, address any concerns, and provide guidance for long-term management.

Important Factors Affecting Recovery Time:

It's important to note that the recovery timeline for a Tibial Plateau Fracture can vary depending on several factors, including the severity of the fracture, age, overall health, adherence to the rehabilitation program, and any potential complications. Each individual's recovery journey is unique, and it's essential to work closely with your physiotherapist to develop a personalized plan that suits your specific needs and goals.

Conclusion:

Recovering from a Tibial Plateau Fracture requires a comprehensive and well-structured rehabilitation program. Physiotherapy plays a pivotal role in optimizing recovery by promoting healing, restoring strength and mobility, and ensuring a safe return to daily activities and sports. Embrace the guidance and support of a physiotherapist to navigate your recovery journey effectively and regain your quality of life.


Ready to optimize your recovery from a Tibial Plateau Fracture? Book your in-home physiotherapy session with Chipperfield Mobile Physiotherapy today. Our team of experienced and compassionate physiotherapists will provide personalized care and guidance to help you regain strength, mobility, and functionality in the comfort of your own home. Take the next step towards your recovery and contact us to schedule your session.

Remember, your rehabilitation journey is unique, and our team is here to support you every step of the way. Book now and let Chipperfield Mobile Physiotherapy help you achieve a full recovery.

CONTACT US TODAY
Previous
Previous

Acupuncture for Neck Pain in Vancouver: Finding Relief Naturally

Next
Next

Counselling for Caregivers: Nurturing Your Well-being while Caring for Others